White implants
With Karma. Co-founder Erik-Jan Muts
April 29, 2025
20:00 CEST
You can watch the webinar here!
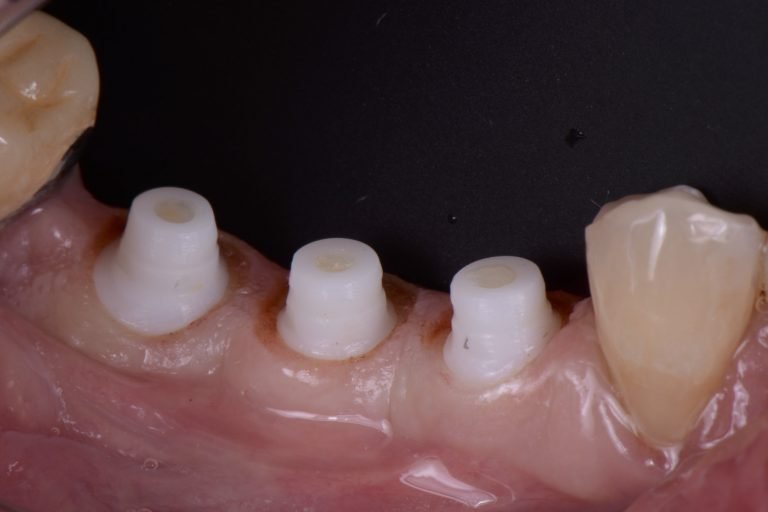
Join Our Free Masterclass on White Implants in Dentistry!
In this masterclass we’ll dive deep into the world of ceramic implants – an alternative to traditional titanium implants.
What will you learn?
- Esthetic Benefits: Discover how ceramic implants, made from materials like zirconia, offer a more natural look, especially for the anterior teeth.
- Biocompatibility: Learn why ceramic implants are highly biocompatible and a great option for patients with metal allergies or sensitivities.
- Health Benefits: Find out how ceramic implants can help reduce bacterial buildup and improve long-term oral health.
- Durability and Strength: Understand the advantages and challenges of ceramic implants
- Patient Considerations: Explore the factors that influence whether ceramic implants are the right choice for your patients, including esthetic needs and bone health.

Erik-Jan Muts, M.Sc.
Prosthodontist (Fellow of EPA)
Erik-Jan Muts (M.Sc.) graduated from the State University in Groningen, Netherlands, in 2013 and became a recognized prosthodontist in 2023 by the European Prosthodontic Association (EPA). He specializes in esthetic, restorative, and implant dentistry, running his own private practice, MP3 Tandartsen, in Apeldoorn, Netherlands. He won the 3M Espertise Talent Awards in 2013 for the 'Digital Rehabilitation Concept' and received the Glen P. McGivney Scientific Writing Award in 2015 for his article 'Tooth Wear: A Systematic Review of Treatment Options.' Erik-Jan serves on the board of the Dutch Academy of Esthetic Dentistry (DAED), is an affiliate of the European Academy of Esthetic Dentistry (EAED), and co- founded KARMA Dentistry. In 2020, he launched an online education program focused on the restorative treatment of enamel hypomineralizations using the Infiltration Concept, and published his book ‘Infiltration in Daily Practice’ in 2024.


Karma. members receive 10% discount
This webinar is sponsored by Microcopy Dental. For more info visit www.microcopyintl.com








